Carcinoma epidermoide de palato mole: relato de tratamento não convencional com radiação: externa (IMRT) e braquiterapia (HDR)

Autores

  • Gustavo Nader Marta Hospital Sírio-Libanês
  • Samir Abdallah Hanna Hospital Sírio-Libanês
  • João Luis Fernades da Silva Hospital Sírio-Libanês

Palavras-chave:

carcinoma de células escamosas, palato mole, radioterapia, braquiterapia

Resumo

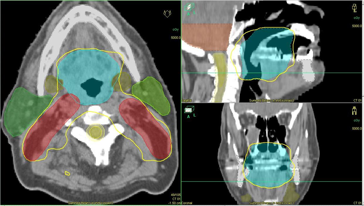
O carcinoma epidermoide de palato mole (CEPM) é uma neoplasia de baixa prevalência que representa a minoria dos tumores que podem acometer a orofaringe. Quando diagnosticados em estádios iniciais, as opções de radioterapia ou cirurgia são aventadas para abordagem terapêutica com taxas de controle locorregional e sobrevida semelhantes. Este estudo tem como objetivo: relatar o caso de um paciente encaminhado ao Departamento de Radioterapia do Centro de Oncologia do Hospital Sírio-Libanês com diagnóstico de CEPM e tratado de forma curativa com radioterapia (teleterapia com técnica de modulação de intensidade de feixe e braquiterapia de altas doses com irídio -192).

Downloads

Não há dados estatísticos.

Metrics

Carregando Métricas ...

Biografia do Autor

Gustavo Nader Marta, Hospital Sírio-Libanês

Médico residente em Radioterapia do Centro de Oncologia - Hospital Sírio-Libanês

Samir Abdallah Hanna, Hospital Sírio-Libanês

Médico assistente e preceptor do Depto. de Radioterapia do Centro de Oncologia do Hospital Sírio-Libanês

João Luis Fernades da Silva, Hospital Sírio-Libanês

Médico coordenador do Depto. de Radioterapia do Centro de Oncologia do Hospital Sírio-Libanês

Downloads

Publicado

2010-12-22

Como Citar

1.
Marta GN, Hanna SA, Silva JLF da. Carcinoma epidermoide de palato mole: relato de tratamento não convencional com radiação: externa (IMRT) e braquiterapia (HDR). Rev. Fac. Ciênc. Méd. Sorocaba [Internet]. 22º de dezembro de 2010 [citado 21º de dezembro de 2025];12(4):20-3. Disponível em: https://revistas-anterior.pucsp.br/index.php/RFCMS/article/view/2603

Edição

Seção

Relato de Caso